Top 5 This Week

Related Posts

Tabrak Pengendara Motor, PLN Sandai Diminta Bertanggung Jawab, Atas Korban Suami Istri

Diduga Lalai Dan Lepas Tanggung Jawab, Diduga Mobil PLN Tabrak Pemotor Di Sandai: Korban Terseret 20 Meter, Keluarga Tuntut Pertanggungjawaban Penuh.

Ketapang–Sandai — Minggu, 04 Januari 2026, Dugaan kelalaian dalam kecelakaan lalu lintas yang melibatkan kendaraan dinas PLN menjadi sorotan publik.

Sebuah mobil milik PLN diduga menabrak sepeda motor yang ditumpangi pasangan suami istri di ruas Jalan Trans Kalimantan, tepatnya di wilayah Natai Batu, Kecamatan Sandai, Kabupaten Ketapang,pada Selasa (23/12/2025) sore.

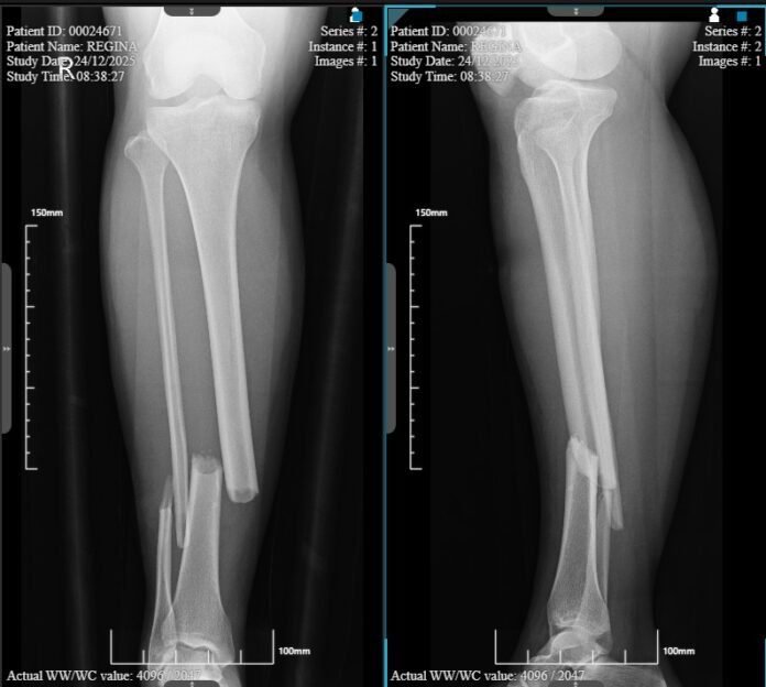
Korban diketahui bernama Ellyas dan istrinya Regina warga Kecamatan Delta Pawan Ketapang Sukaharja Jalan PLTD Gg. Almahkrub RT.25/RW.26..Saat kejadian, keduanya tengah dalam perjalanan pulang dari arah Sandai menuju mess PT LTW yg berada di wilayah administrasi Desa Pendamar indah Randau

Peristiwa tersebut terjadi sekitar pukul 18.00 WIB, ketika kondisi cuaca masih cukup terang dan belum memasuki malam sepenuhnya.

Menurut keterangan keluarga korban, mobil PLN yang melaju dari arah Randau menuju Sandai menabrak sepeda motor korban hingga menyebabkan Regina terpental, sementara Ellyas mengalami pingsan dan terseret bersama sepeda motornya sejauh kurang lebih 20 meter. Benturan keras tersebut mengakibatkan korban mengalami luka serius.

Usai kejadian, korban dilarikan ke Rumah Sakit Sandai, sebelum akhirnya dirujuk ke Rumah Sakit Medika Jaya dan Rumah Sakit Umum di Pontianak untuk mendapatkan penanganan medis lanjutan.

Keluarga korban juga mengungkap adanya pernyataan awal dari sopir mobil PLN yang dinilai tidak berperikemanusiaan.

Kepada Regina yang saat itu masih dalam keadaan sadar, sopir diduga mengatakan, “Kalau tahu begini, saya tidak tabrakan ke kakaknya, lebih bagus saya luruskan ke jurang.” Pernyataan tersebut menimbulkan trauma mendalam bagi korban dan keluarga.

Sopir mobil PLN diketahui bernama Febri, warga Jungkat, Pontianak. Pihak pelaku disebut sempat memberikan bantuan awal sebesar Rp24 juta, yang disebut sebagai uang muka biaya operasi. Namun hingga kini, Febri belum pernah kembali menemui korban maupun keluarga secara langsung.

Lebih lanjut, keluarga menyayangkan sikap pihak PLN yang hingga saat ini dinilai belum menunjukkan tanggung jawab penuh. Proses yang berjalan masih sebatas negosiasi, sementara pihak keluarga menyebut belum ada pengakuan kesalahan secara resmi dari pihak PLN terkait kecelakaan tersebut.

“Kami keluarga korban meminta kepada pihak PLN, khususnya PLN di wilayah Sandai, agar bertanggung jawab penuh atas kecelakaan yang menimpa anggota keluarga kami,” tegas perwakilan keluarga korban.

Kasus ini menambah perhatian publik terhadap tanggung jawab institusi negara dalam insiden kecelakaan lalu lintas yang melibatkan kendaraan dinas, khususnya terkait perlindungan korban dan pemenuhan hak-hak korban secara adil dan manusiawi.

Catatan Redaksi:

Media ini memberikan ruang kepada pihak PLN dan pihak terkait untuk menyampaikan hak jawab sesuai dengan Undang-Undang Nomor 40 Tahun 1999 tentang Pers, guna memberikan klarifikasi atau tanggapan resmi atas pemberitaan ini.(SKD)

Popular Articles